Mon - Sat: 10 AM TO 9 PM, Sunday: Appointments Only

  • 0452 2536 576
    +91 9655 015 015
    info@aasastha.com

    info@aasastha.com
  • No: 14, Gokhale Road

    Opp Booma Hospital Chokkikulam, Madurai.

Contact Info

  • Address

    No: 14, Gokhale Road

    Opp Booma Hospital Chokkikulam, Madurai.
  • Phone

    0452 2536 576
    +91 9655 015 015
    info@aasastha.com

  • Email

    info@aasastha.com

© AASASTHA 2022, All Rights Reserved.

Intra Oral Plastic

Denouncing pleasure & praising pain was born and wewill give you a complete account of the system.
Awesome Image

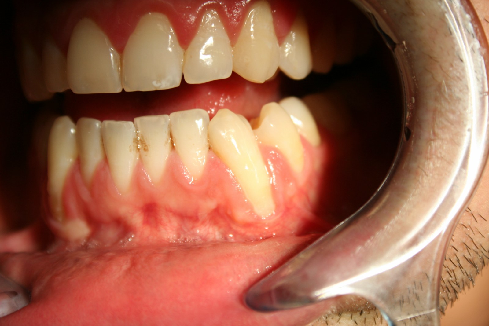
Intra Oral Plastic Dentistry (Gums)

Intraoral plastic surgery can reduce gum recession and bone loss, making your smile healthier while improving its appearance. In some cases, these treatments can cover exposed roots to protect them from decay. Whether you have intraoral plastic surgery to improve function or esthetics, patients often receive the benefits of both: a beautiful new smile and improved periodontal health – your keys to smiling, eating and speaking with comfort and confidence.

What Causes Uneven Gums?

A number of things can cause your gums to be too low or too high. Gums that cover a large portion of your teeth can make your teeth look small. This may be the result of genetics, a particular health problem, or taking certain prescription drugs. Gums that are too high and make your teeth appear long are often caused by gum recession, a condition in which gum tissue pulls back from a tooth and exposes the tooth's root. Not only can gum recession make your teeth look long, it can lead to serious dental problems such as decay and tooth loss. Gum recession may also be a sign of periodontal disease, the deterioration of the supporting structures of the teeth (gums and bone) . Cosmetic Dentistry:

Awesome Image

Dental Bonding

Bonding is a procedure in which a tooth-colored resin is applied and hardened

Read More
Image
Awesome Image

Veneers

Veneers are wafer-thin, custom-made shells that cover the front surface of teeth.

Read More
Image
Awesome Image

Crowns

A crown is a tooth-shaped "cap" that's placed over a weak or damaged tooth

Read More
Image
Awesome Image

Enamel Shaping

Enamel shaping or contouring is a quick and painless process of shaping

Read More
Image

Gum Contouring Surgery: Is It Necessary?

Gum contouring alone is considered a cosmetic procedure. Most of the time it is not medically necessary. Most people have their gums reshaped to improve the appearance of their smile. However, some people undergo gum contouring surgery as part of other necessary periodontal procedures, such as crown lengthening, pocket reduction, and regenerative procedures.

  • Gum contouring procedures not considered cosmetic include adding gum tissue when recession has occurred and trimming overgrown tissue that has covered part of the tooth crown.

Before and After

Treatments Price

Intra Oral Plastic Dentistry (Gums)

$70 - $85

aasastha